Para a página inicial
820К+ pacientes receberam assistência desde 2014
50 países
1,500 clínicas
6K+ avaliações
3K+ médicos qualificados

Quanto custa Regeneração óssea dentária em Los Algodones?

O preço médio de Regeneração óssea dentária em Los Algodones é $404, o preço mínimo é $315 e o preço máximo é $493.
Dados verificados pela Bookimed em April 2026, com base em solicitações de pacientes e cotações oficiais de 1 clínicas em todo o mundo. Os custos medianos são baseados em faturas reais (2025–2026) e atualizados mensalmente. Os preços reais podem variar.

Seus Benefícios e Garantias com a Bookimed

Preços Diretos

A Bookimed não adiciona taxas extras aos preços de Regeneração óssea dentária. As tarifas vêm das listas oficiais das clínicas. O pagamento é feito diretamente na clínica na chegada.

Somente Clínicas e Médicos Verificados

A Bookimed está comprometida com sua segurança. Trabalha apenas com instituições que mantêm altos padrões internacionais em Regeneração óssea dentária e têm as licenças necessárias para atender pacientes internacionais em todo o mundo.

Assistência gratuita 24/7

A Bookimed oferece assistência gratuita de especialistas. Um coordenador médico pessoal apoia antes, durante e após o tratamento, solucionando problemas. Nunca está sozinho em sua jornada de Regeneração óssea dentária.

Por que nós?

Seu assistente Bookimed pessoal

  • Apoia em cada etapa
  • Ajuda a escolher clínica e médico adequados
  • Garante acesso rápido e conveniente à informação

Não perca ofertas exclusivas de Regeneração óssea dentária em Los Algodones para abril 2026

Tipo de procedimento
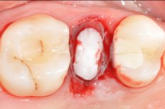
Dental bone regeneration procedure result at SoftDentalCare Clinic, graft placed between teeth
Dental bone regeneration result at SoftDentalCare Clinic, sutures visible after procedure
Dental bone regeneration result with implant placement at SoftDentalCare Clinic
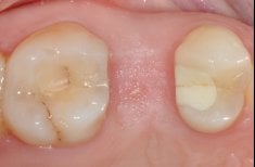
Dental bone regeneration result at SoftDentalCare Clinic – healed gum between molars
26 anos de experiência

Enxerto ósseo com terapia PRP e PRF para cicatrização otimizada e sucesso do implante
  • Technique: Bone graft (Socket preservation)
  • Mario Garibay is a recognized dentist known for his comprehensive and personalized dental implant solutions.
  • SoftDentalCare uses the latest techniques in dentistry and high-quality materials like Straumann and Nobel Biocare.
  • Included Services: 1 PRP session, apical radiography, follow-up examination, intraoral imaging, PRF-therapy (platelet rich fibrin).
  • Stay Info: 1 day stay in the hotel, accommodation is not included, transfer is not included.

Visão geral de Regeneração óssea dentária em México

Conclusões
Procedimentos relacionados e custos
Como funciona
Benefícios
Pagamento
pacientes recomendam -
85%
Tempo de cirurgia - 2 horas
Estadia no país - 7 dias
Reabilitação - 1 dias
Anestesia - Anestesia local
Avaliações verificadas de pacientes - 7
Taxas Bookimed - $0

Obtenha uma avaliação médica para Regeneração óssea dentária em México: escolha seu especialista entre os melhores da área

Ver todos os médicos
verificado

Mario Garibay

26 anos de experiência

Dr. Mario Garibay is a dentist who specializes in dental implants and advanced denture fitting. He has over 20 years of experience. Dr. Garibay graduated from Veracruz University in 2000. He completed advanced training in dental implantology at Loma Linda University in 2005.

He is known for his skill in dental implants, dentures, and crowns. Patients and colleagues often praise his work. Dr. Garibay’s practice is recognized for high success rates in implant procedures. He is committed to providing personalized and high-quality dental care.

verificado

Demetrio Camacho

30 anos de experiência

Mais de 28 anos de especialização em regeneração óssea dentária – O Dr. Camacho melhora sorrisos e a saúde oral com técnicas avançadas.

  • Especialista em implantes e procedimentos All-on-4
  • Implementou nova tecnologia de digitalização para melhorar os resultados dos pacientes
  • Focado no alívio da dor e na restauração da função oral
verificado

Roberto Vargas

10 anos de experiência

Especializa-se em cirurgia oral acessível e de alta qualidade, incluindo regeneração óssea dentária, na Varto Oral Surgery em Los Algodones, México.

  • Experiente em procedimentos avançados de implantes dentários
  • Oferece soluções abrangentes de cirurgia oral
  • Dedicado ao cuidado focado no paciente

Avaliações sobre Bookimed: descubra percepções de pacientes

Todas as avaliações
Татьяна • Colocação de coroa em porcelana
Ucrânia
27 de jan. de 2023
Avaliação verificada.
Estamos muito satisfeitos com a qualidade do trabalho, o profissionalismo do Dr
Desta vez, fomos ao centro odontológico Mexicano Dentavida com o Dr. Alberto Guvera. Estamos muito satisfeitos com a qualidade do trabalho e o profissionalismo do Dr. Alberto. Mas, no caso do meu marido, houve um erro médico na odontologia turca na colocação das coroas, que vamos tentar resolver em breve. Então, compartilharemos os resultados.
Sobre o serviço Bookimed
Obrigado aos consultores da Bookimed pelo ótimo trabalho em prestar assistência oportuna na busca da clínica adequada em qualquer região do mundo. No nosso caso, nossa família colabora pela segunda vez com a questão do tratamento dentário, instalação de coroas de zircônia (outono de 2022, fevereiro de 2023). Gosto do atendimento personalizado, resposta rápida e compreensão da situação exposta. São selecionados com qualidade não apenas as clínicas, mas também os médicos.
Irina • Implante Dentário
Estados Unidos da América
19 de fev. de 2022
Avaliação verificada.
Estamos muito satisfeitos com a clínica e planejamos continuar o tratamento na Sunny Dental Playa del Carmen
Agradecemos ao nosso gerente da Bookimed, Aleksei, pelo atendimento atencioso e profissional na resolução de questões e na organização da nossa viagem. Estamos muito satisfeitos com a clínica e planejamos continuar o tratamento na Sunny Dental Playa del Karman.
Sobre o serviço Bookimed
Agradecemos ao nosso gerente Alexei pela atenção e solução profissional das questões e pela organização da nossa viagem. Estamos muito satisfeitos com a clínica e planejamos continuar o tratamento na Sunny Dental Playa del Carmen.
Kanstantsin Kachanau • Tratamento de cáries dentárias
Estados Unidos da América
18 de ago. de 2024
Avaliação verificada.
Preços razoáveis e excelente qualidade
Preços razoáveis e excelente qualidade. Pessoal atencioso e qualificado. Excelente localização e parque de estacionamento. Transporte clínico disponível
Preço e qualidade
Falta de pontualidade
Yevhenii Konstantinov • Ponte de porcelana
Canadá
19 de nov. de 2024
Avaliação verificada.
Grande atitude do pessoal!!!
Gostei de tudo

Compartilhar este conteúdo

Atualizado: 11/19/2024
Autoria de
Anna Leonova
Anna Leonova
Chefe da Equipe de Marketing de Conteúdo
Redator médico certificado com mais de 10 anos de experiência, desenvolveu o conteúdo confiável do Bookimed, apoiado por Mestrado em Filologia e entrevistas com especialistas médicos em todo o mundo.
Fahad Mawlood
Editor médico e cientista de dados
Clínico geral. Vencedor de 4 prêmios científicos. Atuou na Ásia Ocidental. Ex-líder de equipe médica que atendia pacientes de língua árabe. Agora responsável pelo processamento de dados e precisão do conteúdo médico.
Fahad Mawlood Linkedin
Esta página pode conter informações relacionadas a várias condições médicas, tratamentos e serviços de saúde disponíveis em diferentes países. O conteúdo é fornecido apenas para fins informativos e não deve ser interpretado como orientação ou aconselhamento médico. Consulte um médico ou profissional de saúde qualificado antes de iniciar ou alterar qualquer tratamento médico.

Obtenha uma consulta gratuita

Selecione a melhor forma de contato